Cabinet des Docteurs Marc BONNEL & Jennifer BERINGUER & Jules REIGNIER
CHIRURGIENS-DENTISTES À SCEAUX (92)
+33 1 43 50 41 00
106 rue Houdan, 92330 SCEAUX
Cabinet des Docteurs Marc BONNEL & Jennifer BERINGUER & Jules REIGNIER
CHIRURGIENS-DENTISTES À SCEAUX (92)

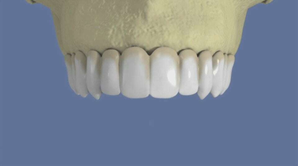
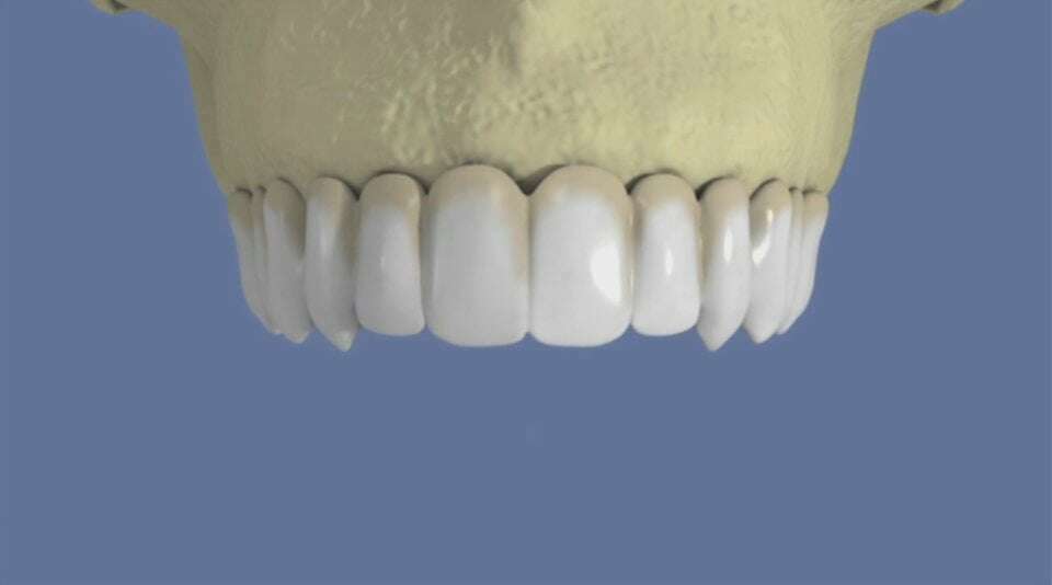
Maxillaire : bridge vissé sans fausse gencive


video-play-icon

Articles similaires

Création par Webdentiste

Connexion